spécialités
Des traitements dentaires adaptés à chaque sourire, avec douceur et précision.
Orthodontie
Alignement des dents et des mâchoires pour un sourire harmonieux et fonctionnel.
Traitements modernes, confortables et adaptés à chaque âge.
Endodontie
Extractions, implants et dents de sagesse réalisés en toute sécurité.
Prise en charge douce et indolore grâce aux techniques modernes
Couronnes, bridges et implants pour restaurer votre sourire.
Des solutions esthétiques et durables sur mesure.
prothèse


soins conservateurs
Traitement des caries et infections pour préserver vos dents naturelles.
Notre priorité : sauver la dent et soulager la douleur.
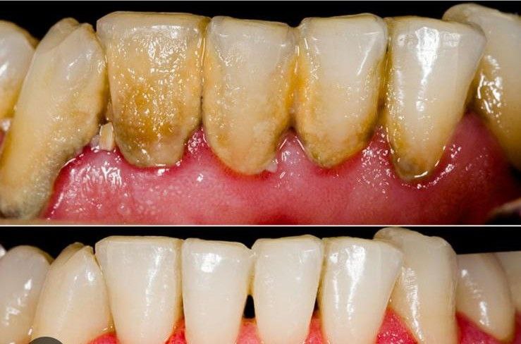
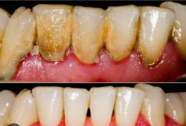
soins parodontaux
Soins des gencives et prévention du déchaussement dentaire.
Pour une bouche saine et un sourire durable.
Dentisterie douce et rassurante pour les enfants. Des soins adaptés pour un sourire en pleine santé.
pédodontie


radio diagnostic
Imagerie dentaire numérique pour un diagnostic précis et rapide.
Moins de rayons, plus de sécurité.


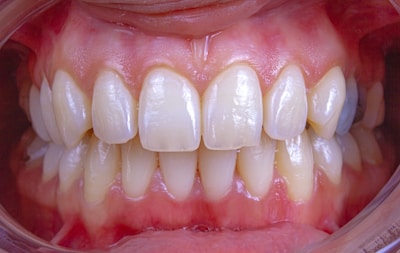
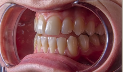
Éclaircissement dentaire
Blanchiment professionnel pour un sourire éclatant.
Résultats visibles dès la première séance.
Notre plus value
Confiance, Proximité et Excellence.
Un plateau technique complet permettant la prise en charge de tous types de soins
(chirurgie, soins conservateurs, prothèses, implantologie, orthodontie) et l'utilisation de matériel d'imagerie de pointe (radio panoramique et rétroalvéolaire).
Emplacement stratégique et accessibilité: Situé au Carrefour EMIA, il offre un avantage logistique indéniable la centralité et constitue la meilleure option pour le rapport qualité/proximité.
Commodités: Le cabinet propose des installations modernes et propres, des parkings gratuits
à proximité (ce qui facilite la visite pour les patients motorisés).
Un accueil et une écoute de proximité: le centre est particulièrement loué pour son côté humain
et est reconnu pour:
- Sa pédagogie : Les dentistes prennent le temps d'expliquer chaque étape du soin, ce qui réduit considérablement l'anxiété liée au fauteuil dentaire.
- Le suivi personnalisé.
- Et la constance dans la qualité des soins et de l'accueil,


Contactez-nous


Prenez rendez-vous facilement au centre dentaire dnt, votre sourire mérite le meilleur.
Notre localisation
Situé au cœur de Ngoaékélé, carrefour EMIA à Melen, notre centre vous accueille avec soin.
